Để thực hiện việc đặt mão sứ bên ngoài răng, bác sĩ sẽ tiến hành việc mài cùi răng một cách nhẹ nhàng để tạo ra một bề mặt cùi. Đây là một kỹ thuật phức tạp và đòi hỏi sự tỉ mỉ, cần phải được thực hiện bởi các bác sĩ nha khoa có trình độ chuyên môn. Nếu thực hiện không đúng cách, có thể gây ra nhiều vấn đề, với tình trạng nghiêm trọng nhất là có thể dẫn đến mất răng vĩnh viễn. Hãy cùng NKLUCK tìm hiểu chi tiết qua bài viết dưới đây!
Mài cùi răng là gì?
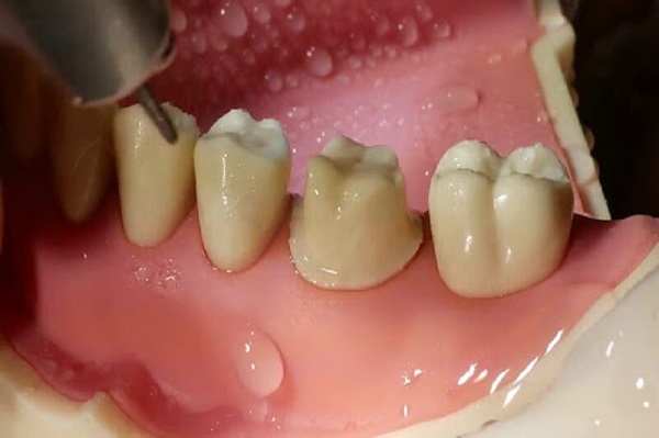
Mài cùi răng là một trong những kỹ thuật quan trọng trong quá trình bọc răng sứ thẩm mỹ. Đối với phương pháp này bác sĩ sẽ tiến hành mài nhỏ răng thật theo một tỷ lệ chuẩn xác nhất để tạo thành trụ. Sau đó, thực hiện lắp mão sứ lên trên sao cho mão của răng và cùi trụ sát khít lại với nhau, tạo ra một chiếc răng sứ mới, có độ thẩm mỹ và chức năng nhai như răng thật.

Bên cạnh đó, kỹ thuật mài răng cửa, răng hàm khá phức tạp, cần được thực hiện bởi các bác sĩ có trình độ chuyên môn cao. Cùng với sự hỗ trợ của các dụng cụ chuyên khoa, nhằm đảm bảo tránh được những tổn thương trên răng hoặc với nướu,… giúp cho răng được mài đúng với tỉ lệ xác định và thuận tiện hơn khi bọc sứ cho răng.
Mài cùi răng sứ có bị ảnh hưởng gì không?
Khi mài răng bọc sứ đúng cách sẽ không gây ảnh hưởng cho cơ thể. Ngược lại, nếu bạn không đảm bảo được các tay nghề như các bác sĩ chuyên môn cùng với đó là dụng cụ chuyên dụng, kỹ thuật mài răng không đúng thường sẽ gây ra những tổn thương nặng nề cho hàm răng.
Mài răng là một kỹ thuật không hề đơn giản, yêu cầu bác sĩ cần phải thực hiện tỉ mỉ và có nhiều kinh nghiệm mới có thể làm được. Thế nên bạn hoàn toàn không thể tự mài răng và bọc răng sứ tại nhà mà cần phải có sự can thiệp của các bác sĩ chuyên khoa. Thông thường các thao tác mài răng sẽ được dùng các dụng cụ chuyên dụng để thực hiện, việc này sẽ giúp tạo ra sự xâm lấn vào răng thật vào răng thật, làm cho răng bị yếu đi. Thông thường, răng sẽ được mài 2mm cho tất cả các vị trí.

Phương pháp mài răng để bọc sứ sẽ ảnh hưởng đến bề mặt của răng toàn bộ, và điều này có nghĩa là men răng sẽ bị mài mòn. Một khi răng đã bị mài mòn quá nhiều, răng tự nhiên sẽ bị tổn thương mà không thể khôi phục lại được.
Nguyên tắc mài cùi răng đẹp và đạt chuẩn
Dưới đây là 3 nguyên tắc cơ bản trong việc mài cùi răng mà bác sĩ cần lưu ý trước và sau quá trình thực hiện, cụ thể như sau:
Bảo toàn cấu trúc của răng thật
Đây là một trong những tiêu chuẩn cơ bản và quan trọng trong quá trình mài cùi răng. Các bác sĩ nha khoa cần tuân theo các tỷ lệ cụ thể để bảo vệ cấu trúc răng tự nhiên và đạt được kết quả phục hình tốt nhất:
- Răng cửa và răng nanh: Đối với những loại răng này, việc mài cần được chia thành ba phần khác nhau, bao gồm cổ răng với khoảng cách từ 0,6mm đến 1mm, thân răng từ 1mm đến 1,5mm, và cạnh cắn có độ mài từ 1,2mm đến 2mm.
- Răng hàm: Với răng hàm, tỷ lệ mài khác nhau như sau: cổ răng cần được mài với khoảng cách từ 0,8mm đến 1mm, thân răng từ 1,5mm đến 2mm, và mặt nhai cần được mài từ 1,5mm đến 2mm.
Đường hoàn tất linh hoạt
Đường hoàn tất trong quá trình mài răng cần phải linh hoạt. Với những tỷ lệ mài răng khác nhau mà bác sĩ sẽ lựa chọn đường hoàn tất sao cho phù hợp nhất. Đường hoàn tất có thể ở bề mặt vai hoặc bề mặt cong của răng, nhưng quan trọng nhất là đảm bảo rằng đường mài được thực hiện chính xác, kết thúc mịn màng, không có sự sai lệch so với tỷ lệ được quy định và bám chặt vào bề mặt răng sứ.
Góc điều chỉnh phù hợp
Răng thường cần được mài trên năm mặt khác nhau, với sự quan tâm đặc biệt đến góc độ thích hợp. Điều quan trọng là phải duy trì một góc độ thích hợp, đảm bảo mặt mài đúng vị trí để mão răng sứ bám chặt vào cùi răng, đồng thời không gây ra hở mô răng, không sai khác so với tỷ lệ được xác định, và giữ vững sự bám dính của răng sứ.

Quy trình mài cùi răng đạt chuẩn y khoa
Các bước chuẩn trong quá trình mài răng bọc sứ được thực hiện như sau:
- Bước 1: Sử dụng lưỡi dao nha khoa chuyên nghiệp để tạo khe giữa các răng cần mài.
- Bước 2: Sử dụng máy cắt để vạch đường ngang trên bề mặt cùi răng, xác định độ dày cần mài.
- Bước 3: Thực hiện mài răng theo thứ tự cụ thể: mặt nhai, mặt ngoài, mặt bên, và mặt trong, tuân theo độ dày đã xác định trước.
- Bước 4: Sử dụng mũi khoan đặc biệt để tạo ra đường hoàn tất trên răng.
- Bước 5: Hiệu chỉnh các cạnh và bo tròn các góc theo yêu cầu.
Mài cùi răng có đau không?
Quá trình mài cùi răng sẽ không gây đau đớn nếu được thực hiện bởi các bác sĩ nha khoa có trình độ chuyên môn cao và sử dụng các thiết bị công nghệ hiện đại. Trước khi bắt đầu, bác sĩ sẽ tiến hành việc tính toán cẩn thận về phần răng cần mài và có thể áp dụng thuốc tê cục bộ. Sử dụng máy mài răng tiên tiến và chính xác, quá trình này sẽ diễn ra nhanh chóng mà không gây ra cảm giác ê buốt đáng kể.
Tuy nhiên, trong một số trường hợp, nếu bác sĩ không thực hiện mài răng theo tỷ lệ cần thiết, có thể gây xâm lấn quá mức và làm giảm tuổi thọ của răng. Khi tay nghề của bác sĩ kém cùng việc sử dụng các thiết bị thô sơ, điều này có thể gây ra cảm giác đau đớn cho bệnh nhân. Vì vậy, quan trọng là bạn cần tìm đến một nha khoa uy tín nếu bạn cần thực hiện quá trình mài cùi răng.
Như vậy, trên đây chúng ta đã cùng nhau đi tìm hiểu Mài cùi răng là gì? Kỹ thuật mài cùi răng cho răng cửa, răng hàm. NKLUCK hy vọng rằng qua bài viết này bạn sẽ hiểu rõ hơn về phương pháp này để có sự cân nhắc khi đi mài răng tại nha khoa nhé!
Tìm hiểu thêm sản phẩm vật liệu Labo nha khoa chính hãng, giá tốt tại N.K.Luck