Khi mất răng do chấn thương hoặc bệnh tật, một người có thể gặp phải các biến chứng như tiêu xương nhanh chóng, nói năng khiếm khuyết hoặc thay đổi cách nhai dẫn đến cảm giác khó chịu. Thay thế một chiếc răng bị mất bằng cấy ghép nha khoa có thể cải thiện đáng kể chất lượng cuộc sống và sức khỏe của bệnh nhân. Phương pháp cấy ghép implant là lựa chọn chuẩn nhất trong những trường hợp như thế. Cùng N.K.Luck đơn giản hóa quy trình điều trị và cho ca phẫu thuật thành công với ImplantMED đến từ thương hiệu “lão làng” W&H nhé!

Kỹ thuật cấy ghép Implant 

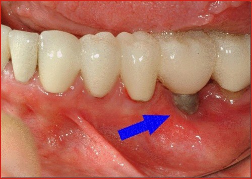
Cấy ghép implant là giải pháp điều trị trong nha khoa nhằm thay thế một hay nhiều răng đã mất được phát minh bởi một nha sĩ người Thụy Điển. Hiện nay, đây được coi là phương pháp phục hình thay thế răng ưu việt nhất ngành nha. Hệ thống implant nha khoa bao gồm thân implant nha khoa, trụ implant nha khoa và vít cố định trụ. 

Thân implant nha khoa được phẫu thuật đưa vào xương hàm thay cho chân răng. Trụ implant nha khoa thường được gắn vào thân implant bằng vít cố định trụ và kéo dài qua nướu vào trong miệng để nâng đỡ răng giả. Sau vài tháng sẽ liên kết với xương tự nhiên của bạn, đóng vai trò thay thế cho chân răng đã mất và làm trụ cho răng sứ và cầu răng thay thế bên trên.

Trường hợp mất 1 răng, nhiều răng, thậm chí mất răng toàn hàm do tai nạn, bệnh tật hoặc do bị thiếu răng bẩm sinh đều có thể được giải quyết bằng phương pháp cấy ghép implant. Tùy thuộc vào tình trạng cụ thể và loại implant được chọn, nha sĩ sẽ lập một kế hoạch điều trị phù hợp để đáp ứng nhu cầu của bạn. Dưới đây là 2 dạng cấy ghép implant cơ bản: 

  • Cấy ghép implant trong xương: Đây là loại cấy ghép phổ biến nhất; implant được đặt vào xương hàm. Mỗi implant chứa một hoặc nhiều răng giả. Loại cấy ghép này nói chung là một giải pháp thay thế cho những bệnh nhân hiện đang đeo cầu răng hoặc răng giả tháo lắp.
  • Cấy ghép implant trên xương: Loại implant này được đặt trên hàm với các trụ kim loại nhô ra qua nướu để cố định implant. Cấy ghép dưới màng xương thường được sử dụng cho những bệnh nhân không thể đeo răng giả thông thường và không có đủ chiều cao xương để giữ cấy ghép trong xương.

Phẫu thuật cấy ghép implant nha khoa thường là một phẫu thuật ngoại trú được thực hiện theo từng giai đoạn, với thời gian “cuốn chiếu” giữa các thủ thuật. Quy trình trồng răng implant cơ bản bao gồm các bước sau:

  • Nhổ răng hư: thực hiện phẫu thuật loại bỏ toàn bộ phần răng hư nặng, không thể sửa chữa 
  • Chuẩn bị xương hàm (ghép) khi cần: Nếu xương hàm không đủ dày hoặc quá mềm, bệnh nhân có thể cần ghép xương trước khi có thể phẫu thuật cấy ghép implant
  • Đặt implant nha khoa: Trong quá trình phẫu thuật cấy ghép implant nha khoa, bác sĩ phẫu thuật răng miệng của bạn sẽ rạch một đường để mở nướu và để lộ xương. Các lỗ được khoan vào xương nơi sẽ đặt trụ kim loại cấy ghép nha khoa.
  • Chờ xương phát triển: Sau khi trụ cấy ghép kim loại được đặt vào xương hàm, quá trình tích hợp xương bắt đầu. Trong quá trình này, xương hàm phát triển và hợp nhất với bề mặt của implant nha khoa.
  • Đặt trụ cầu: cần phẫu thuật bổ sung để đặt trụ cầu – phần mà mão răng cuối cùng sẽ gắn vào. Sau khi đặt trụ cầu, nướu cần lành trong khoảng hai tuần trước khi có thể gắn răng giả.
  • Đặt răng nhân tạo: Sau khi nướu lành lại, tiến hành lấy dấu lên răng sứ theo ni và theo màu răng hiện tại của bệnh nhân. Sau khi lấy dấu và tạo hình răng giả, bệnh nhân sẽ được gắn răng trên vị trí trụ implant và kết thúc quá trình phục hình cấy ghép implant.

Toàn bộ quá trình có thể mất nhiều tháng. Phần lớn thời gian đó được dành cho việc chữa lành và chờ đợi sự phát triển của xương mới trong hàm. Tùy thuộc vào tình huống của bệnh nhân, quy trình cụ thể được thực hiện đơn lẻ hoặc đôi khi có thể kết hợp một số bước nhất định.

Ưu điểm lớn nhất của cấy ghép implant là khả năng tích hợp với xương hàm y như thật. Nhờ đó răng có thể đứng vững và không ảnh hưởng đến các răng xung quanh, ổn định độ cao. Nhờ sự phát triển của khoa học công nghệ ngày nay mà tỷ lệ cấy ghép implant có thể lên tới 98%.

Tham khảo thêm: So sánh top 4 loại ghế nha khoa được ưa chuộng nhất

Các biến chứng có thể gặp khi cấy ghép implant 

Trên thực tế, tỷ lệ thành công của việc cấy ghép răng Implant là rất cao từ 97 – 99.9% nếu được tiến hành phẫu thuật bởi bác sĩ giỏi và nha khoa trang bị đầy đủ thiết bị. Khả năng thất bại của một ca cấy ghép Implant hầu như là rất thấp, tuy nhiên nó vẫn có khả năng xảy ra. Một số biến chứng có thể phát sinh trong cấy ghép Implant như sau:

Sưng đau kéo dài liên tục

Sau khi cấy ghép implant, bệnh nhân sẽ có cảm giác bị đau, nó không quá nặng và sẽ được khắc phục bởi thuốc giảm đau. Sau 5 – 7 ngày mà triệu chứng đau không giảm bạn cần lập tức thông báo với bác sĩ để có biện pháp khắc phục sớm. Trường hợp sau một vài tháng vẫn còn sưng đau và có triệu chứng sốt thì có thể bạn đang có 1 ổ viêm tại vị trí implant, và implant đang bị đào thải trong xương hàm. Bạn nên báo với nha sĩ để có kế hoạch lấy implant ra sớm nhất có thể.

Thân implant bị dịch chuyển gây mất tích hợp xương

Implant có thể có những vi dịch chuyển trong thời điểm sau cấy do không đạt được sự ổn định sơ khởi ban đầu. Biến chứng này có thể do do nhiễm trùng cục bộ ở xương và nướu nâng đỡ thân implant hoặc nhiễm trùng toàn thân xảy ra ở những người bệnh tiểu đường. Hiện tượng này đặc biệt hay gặp trong những ca nhổ răng cấy tức thì – đây là 1 biến chứng sớm xảy ra do thiết bị máy móc thiếu chính xác hoặc trình độ chuyên môn của nha sĩ cấy ghép còn non tay.

Nhiễm trùng khu vực cấy ghép implant

Đây là một trong những biến chứng sau khi cấy ghép implant. Hiện tượng nhiễm trùng có biểu hiện đó là các mô xung quanh khu vực cấy ghép bị viêm sưng do vi khuẩn tấn công. Hiện tượng này có thể kéo dài trong nhiều tháng hoặc nhiều năm sau khi phẫu thuật, nhiễm trùng nặng sẽ dẫn đến viêm nhiễm, mất xương, cấy ghép thất bại nếu không được điều trị đúng cách.

Gây tổn thương các mô lân cận

Một trong những biến chứng khác sau khi cấy ghép implant đó là làm tổn thương đến các mô lân cận vùng cấy ghép. Các tổn thương có thể kể đến như tổn thương răng lân cận, phạm vào dây thần kinh, viêm xoang và xương hàm.

Đối với tổn thương răng, các rủi ro khi khoan hàm có thể làm hỏng mão răng (lớp chụp xung quanh thân răng) hoặc các chân răng lân cận. Vì thế, bác sĩ phải nghiên cứu cẩn thận phim X-quang hoặc chụp cắt lớp CT scan trước khi khoan vì đôi khi chân răng có hình dạng kỳ lạ.

Phạm vào dây thần kinh là biến chứng hiếm gặp khi phẫu thuật cấy ghép implant cho hàm dưới. Thần kinh xương ổ răng dưới có thể bị tổn thương trong quá trình khoan, gây ra đau, tê hoặc ngứa ran ở lợi, môi, lưỡi hoặc cằm.

Biến chứng viêm xoang là một trường hợp vẫn có khả năng xảy ra. Sau khi cấy ghép implant một thời gian, bệnh nhân có biểu hiện viêm xoang. Nguyên nhân có thể do quá trình cấy Implant phạm sai sót gây nên.

Một biến chứng rất hiếm gặp khi phẫu thuật Implant nữa là gãy xương hàm. Nếu bệnh nhân không đủ xương, xương không đủ dày để cấy ghép implant thì xương hàm có thể bị gãy trong quá trình khoan hoặc lắp các Implant vào.

Đơn giản hóa quy trình điều trị và cho ca phẫu thuật thành công với ImplantMED

Cấy ghép implant là kỹ thuật đòi hỏi độ chính xác rất cao, nên công nghệ và máy móc hỗ trợ rất nhiều cho bác sĩ trong suốt quá trình thực hiện. Nếu không xét tới yếu tố gặp phải biến chứng sau cấy Implant do kỹ thuật của bác sĩ thì máy móc thiết bị thiếu an toàn chính là nguyên nhân trực tiếp gây nên những ca thất bại. 

Vì vậy, để mang đến kết quả hậu phẫu thành công, những cơ sở phòng khám hay bệnh viện đều cần đầu tư trang thiết bị nha khoa hiện đại, vệ sinh và tính giản nhất nhằm rút ngắn thời gian phẫu thuật. Với ImplantMED, quy trình điều trị cấy ghép implant trở nên đơn giản và dễ dàng hơn. Sản phẩm được các bác sĩ, nha sĩ đánh giá là thiết bị đáng đầu tư nhất trong những năm gần đây.

Công nghệ implantMED hỗ trợ lực tối đa, giảm phù nề và hỗ trợ bơm nước muối sinh lý liên tục để làm sạch. Với dòng thiết bị hỗ trợ phẫu thuật cấy ghép, implantMED phát triển 2 sản phẩm chính là Thiết bị cấy ghép implant ImplantMED SI-1023 và ImplantMED SI-923. 

Thiết bị cấy ghép implant Implantmed SI-1023

Thiết bị cấy ghép ImplantMED SI-1023 được thiết kế đặc biệt để sử dụng trong cấy ghép nha khoa, là công cụ hỗ trợ quy trình phẫu thuật cấy ghép răng và phẫu thuật hàm mặt với độ chính xác tối đa.

Thông số kỹ thuật: 

  • Xuất xứ: Áo
  • Tốc độ: 200 – 40.000 vòng/phút
  • Chiều cao/rộng/sâu: 100 x 262 x 291 mm
  • Bảo hành: 2 năm
  • Có sẵn với điều khiển chân cáp hoặc điều khiển chân không dây.
  • Có sẵn với WS-75, WS-75L, S-11 hoặc S-11L
  • Bao gồm: bộ điều khiển,
  • Động cơ với cáp 1,8 m bao gồm. 5 kẹp,
  • Điều khiển bằng chân S-N1, giá đỡ, giá đỡ động cơ,
  • Cáp nguồn, 2 chốt khóa
  • Có hoặc không có tay khoan phẫu thuật

Đặc tính nổi bật:

Với giao diện người dùng trực quan, màn hình cảm ứng màu và bề mặt kính, Implantmed mới mang đến cho bạn môi trường làm việc thoải mái nhất. Chỉ số đo độ ổn định của mô cấy (giá trị ISQ) được hiển thị trực tiếp trên màn hình. Động cơ điện siêu ngắn, mạnh mẽ kiểm soát mô-men xoắn hỗ trợ giúp cấy ghép an toàn.

Sản phẩm được điều khiển bằng chân không dây, hạn chế tối đa thao tác tay nhằm đảm bảo an toàn vệ sinh và tinh giản nhân viên tham gia ca phẫu thuật. Kết hợp với mô-đun W&H Osstell ISQ ImplantMED cho phép đo độ ổn định của mô cấy một cách đáng tin cậy. 

Thiết bị cấy ghép implant Implantmed SI-923

ImplantMED SI-923 vượt trội nhờ dễ vận hành, động cơ mạnh mẽ và chức năng cắt chỉ tự động, là sản phẩm nhận được sự tin tưởng của nhiều nha, bác sĩ.

Thông số kỹ thuật: 

  • Xuất xứ: Áo
  • tối đa. mô-men xoắn tại dụng cụ quay (trong chương trình 4): 70 Ncm
  • Điện áp nguồn: 220 – 240 V
  • Tần số: 50/60 Hz
  • Công suất đầu ra cơ học tối đa. : 80W
  • Mô-men xoắn tại động cơ tối đa. : 5,5 Ncm
  • Dải tốc độ động cơ trong dải điện áp danh định: 300 – 40.000 phút-1
  • Tay khoan thẳng và tay cầm ngược: WI-75E/KM / S-9 LG / S11 LG / WS-56 LG / WS-75 LG / WS-91 LG / WS-92 LG
  • Chiều dài của cáp động cơ: 1,8 m
  • Tốc độ dòng nước làm mát ở 100 %: tối thiểu. 90 ml/phút
  • Điều khiển chân: S-N2
  • Chiều cao/rộng/sâu: 100 x 235 x 240 mm

Đặc tính nổi bật:

ImplantMED vượt trội nhờ dễ vận hành, động cơ mạnh mẽ và chức năng cắt chỉ tự động. Chi tiết vận hành được thiết kế hợp lý hỗ trợ các bác sĩ cấy ghép và đảm bảo tất cả các chương trình có thể được thiết lập dễ dàng, bằng cách nhấn các nút trên thiết bị hoặc bằng cách vận hành điều khiển bằng chân.

Các thông số cài đặt hiển thị rõ ràng trên màn hình lớn và dễ đọc. Sự kết hợp giữa động cơ ngắn và tay khoan góc đối có hình dáng công thái học được cân bằng hoàn hảo. Bạn có thể làm việc trong thời gian dài mà không bị mỏi hay chuột rút ở tay.

ImplantMED có thiết kế động cơ mạnh mẽ, ngay cả những quy trình cấy ghép khó khăn cũng không còn đòi hỏi nhiều sức lực. Mô-men xoắn động cơ 5,5 Ncm và dải tốc độ động cơ từ 300 đến 40.000 vòng/phút giúp thực hiện nhẹ nhàng các quy trình khó. Điều khiển mô-men xoắn tự động ở dụng cụ quay,  có thể được đặt trên thiết bị Implantmed ở mức từ  5 đến 70 Ncm, đảm bảo vận hành an toàn.

Đơn giản hóa quy trình điều trị, phẫu thuật cấy ghép implant thành công là mục tiêu hàng đầu của bất kỳ một phòng khám nào. Đầu tư cho thiết bị phòng khám nha khoa chính là đầu tư cho chất lượng sản phẩm nha khoa của bạn. Thiết bị càng tiện nghi, công nghệ càng hiện đại thì sản phẩm được tạo ra càng hoàn mỹ và tỷ lệ rủi ro càng nhỏ.

Bạn có thể xem xét những dịch vụ chính và thế mạnh phòng khám nha khoa của mình để đưa ra các lựa chọn trang thiết bị tiên tiến phù hợp để làm nổi bật dịch vụ một cách tốt nhất. Đó cũng là những lời khuyên chân thành của công ty vật tư nha khoa N.K.LUCK về các khoản đầu tư xứng đáng nhất cho phòng khám nha khoa của bạn.