Là một chuyên gia trong lĩnh vực nha khoa, Bác Sĩ cần phải có khả năng chẩn đoán chính xác tình trạng bệnh nhân và lên phác đồ điều trị. Một trong những trợ thủ đắc lực nhất giúp việc chẩn đoán khả thi đó là các thiết bị X-Quang toàn cảnh. Tuy nhiên, trước nhiều lựa chọn trên thị trường, Bác Sĩ cần phải lưu ý một số điểm quan trọng khi mua.

Thiết bị X-Quang toàn cảnh: Trợ lý đắc lực giúp Nha Sĩ chẩn đoán nhanh và chính xác

Thiết bị X-Quang toàn cảnh được các chuyên gia đánh giá là giải pháp chẩn đoán hình ảnh một cách toàn diện và có độ chính xác cao. Thiết bị này giúp hiển thị đầy đủ các góc chụp trong khoang miệng bệnh nhân, giúp các Bác Sĩ dễ dàng phân tích đánh giá và đưa ra kế hoạch điều trị hiệu quả nhất.

Chụp X-Quang toàn cảnh hàm răng

Có thể nói, các thiết bị X-Quang toàn cảnh đại diện cho sự phát triển của khoa học nhờ được trang bị công nghệ tiên tiến cũng như luôn được nâng cấp và cải tiến liên tục. Khi phòng khám nha khoa được trang bị công nghệ hình ảnh toàn cảnh, Bác Sĩ sẽ được trải nghiệm nhiều tính năng vượt trội:

  • Sử dụng bộ lọc chỉnh nha để xem xét hình dạng mô cứng và mềm.
  • Thời gian quét nhanh.
  • Hình ảnh đầy đủ các góc độ khác nhau.
  • Thiết bị điều chỉnh độ phơi sáng giúp chất lượng ảnh tốt nhất.
  • Cung cấp hình ảnh 2D hoặc 3D (tùy thiết bị) mang đến cho Bác Sĩ cái nhìn trực quan, rõ ràng.
  • Kích thước thuận tiện lắp đặt và quan sát.
  • Nhiều thiết bị có thời gian phơi sáng chế độ toàn cảnh lên đến 15 giây.
  • Thấu kính có thể phóng đại kích thước vật thể lên nhiều lần giúp phát hiện lâm sàng các bộ phận như ống tủy, chân răng…

Thiết bị X-quang toàn cảnh
Thiết bị hình ảnh toàn cảnh giúp nha sĩ trong quá trình chẩn đoán và đưa ra phác đồ điều trị một cách nhanh chóng và chính xác

Những lưu ý cần biết khi mua thiết bị X-Quang toàn cảnh

Với những ưu điểm vượt trội và vai trò quan trọng đối với Nha Sĩ, các thiết bị X-Quang toàn cảnh chính là trang bị không thể thiếu trong nhiều phòng khám nha khoa hiện đại. Tuy nhiên, vì sở hữu công nghệ tiên tiến cũng như có giá trị sử dụng lâu dài nên chi phí đầu tư cho thiết bị này là không hề nhỏ. Đây cũng chính là nỗi lo chung của nhiều Nha Sĩ mỗi khi quyết định chọn mua thiết bị này.

Hiểu rõ tâm lý khách hàng cũng như là đối tác của nhiều thương hiệu thiết bị nha khoa uy tín, N.K.Luck đã tổng hợp một số tiêu chí lựa chọn thiết bị X-Quang toàn cảnh để giúp Nha Sĩ dễ dàng đánh giá và lựa chọn: 

Thiết bị dễ thao tác

Thiết bị X Quang hiện tại giúp dễ thao tác hơn
Thiết bị hiện đại sẽ càng dễ thao tác, giúp Nha Sĩ làm việc hiệu quả hơn

Hãy thử tưởng tượng, nếu Bác Sĩ phải chi một số tiền lớn cho việc mua máy nhưng đem về lại không thể sử dụng ngay hoặc thao tác quá phức tạp nên không thể nhớ hết, như vậy sẽ ảnh hưởng rất nhiều đến quá trình chẩn đoán cho bệnh nhân. Chắc chắn mọi thiết bị đều sẽ có hướng dẫn sử dụng và nhân viên kỹ thuật hỗ trợ nhưng một thiết bị hình ảnh toàn cảnh dễ thao tác sẽ giúp người dùng tiết kiệm thời gian và công sức. 

Thương hiệu xuất xứ rõ ràng

Trước tình hình sản phẩm kém chất lượng, hàng giả, hàng nhái tràn lan thì việc mua thiết bị hình ảnh toàn cảnh giá thành phù hợp lại có xuất xứ rõ ràng luôn là mối quan tâm của mọi người. Do đó, trước khi quyết định mua thiết bị, Bác Sĩ hãy tìm hiểu các nhà sản xuất nổi tiếng và những số hiệu rõ ràng để khi lựa chọn có thể kiểm tra nhãn hiệu trên máy.

Thiết bị X Quang toàn cảnh Yoshida
Yoshida được nhiều chuyên gia đánh giá là thương hiệu thiết bị nha hoa chất lượng hàng đầu trên thế giới

Lựa chọn thiết bị xuất 2D hay 3D

Có nhiều trường hợp Bác Sĩ có thể lựa chọn hình ảnh 2D thay vì 3D. Tuy thiết bị cung cấp hình ảnh 3D có thể cải thiện đáng kể các chẩn đoán cũng như lập kế hoạch điều trị nhưng những thiết bị hình ảnh 2D vẫn có thể cung cấp đầy đủ thông tin cho Bác Sĩ và bệnh nhân. Hơn nữa, thiết bị hình ảnh 2D sẽ có giá thành tiết kiệm hơn so với thiết bị 3D, giúp phòng khám hoặc bệnh viện của Bác Sĩ giảm thiểu kha khá chi phí mua sắm.

Thiết bị có tích hợp in phim Cephalometric

Những lưu ý khi mua thiết bị X Quang toàn cảnh
Những lưu ý khi mua thiết bị chẩn đoán hình ảnh

Khi mua một thiết bị X-Quang toàn cảnh, Bác Sĩ cần suy nghĩ kỹ về các chức năng phục vụ cho chẩn đoán bệnh nhân. Hiện nay, nhiều thiết bị hình ảnh có tích hợp tính năng in phim Cephalometric – kỹ thuật chụp sọ mặt dùng trong chỉnh nha. Do đó hãy cân nhắc đến nhu cầu sử dụng của Bác Sĩ và hỏi kỹ người bán để quyết định trước khi mua.

Có khả năng nâng cấp

Để tiết kiệm chi phí đầu tư, Bác Sĩ có thể lựa chọn máy chụp hình ảnh toàn cảnh 2D có thể nâng cấp được lên 3D. Nhiều nhà sản xuất cung cấp các mô hình theo dạng này, giúp nhiều người đa dạng trong lựa chọn. Bằng cách đó, Bác Sĩ có thể giảm thiểu khoản đầu tư ban đầu và có thể nâng cấp khi nhu cầu thay đổi.

Cần đọc kỹ lưu ý, hướng dẫn sử dụng trước khi mua máy chụp X Quang toàn cảnh
Cần đọc kỹ hướng dẫn sử dụng, lưu ý trước khi quyết định mua máy chụp X Quang toàn cảnh

Chất lượng nhà phân phối

Trước khi quyết định mua thiết bị hình ảnh toàn cảnh, Bác Sĩ nên xem xét các công ty chuyên kinh doanh lĩnh vực này. Một công ty có trách nhiệm sẽ trả lời đầy đủ tất cả thắc mắc của Bác Sĩ, hướng dẫn quy trình sử dụng đồng thời cam kết chất lượng sản phẩm cung cấp.

Có nhiều nhà phân phối thiết bị hình ảnh toàn cảnh cung cấp máy mới nhưng giá thấp mà thời hạn bảo hành lại lâu. Điều này không có nghĩa Bác Sĩ sẽ có lợi, trước khi quyết định mua hãy cân nhắc đến các dịch vụ hỗ trợ hoặc chất lượng tuổi thọ của máy. Bác sĩ cần đảm bảo rằng công ty cung cấp thiết bị phải đạt chứng nhận và phản hồi tích cực từ phía khách hàng đã dùng.

NKLUCK nhà phân phối thiết bị nha khoa uy tín, chất lượng

>>> Xem thêm: N.K.Luck được truyền thông đánh giá là công ty tiên phong cung cấp vật liệu và trang thiết bị nha khoa cho nhiều thương hiệu nổi tiếng thế giới

Thiết bị X-Quang toàn cảnh được ưa chuộng nhất hiện nay

Với kinh nghiệm là Nhà phân phối thiết bị nha khoa uy tín và được sự tin tưởng từ khách hàng, N.K.Luck gợi ý cho các Bác Sĩ 3 dòng sản phẩm thiết bị hình ảnh toàn cảnh được đánh giá là ưu việt nhất trên thị trường hiện nay.

X-ERA SMART

Thiết kế nhỏ gọn và mỏng nhưng đầy đủ chức năng, X-ERA Smart là trợ thủ tốt nhất giúp Bác Sĩ quan sát được mô hình hình ảnh toàn cảnh/cephalometric 2D, 3D.

X-ERA Smart, hệ thống thiết bị hình ảnh độ phân giải cao
X-ERA Smart, hệ thống thiết bị hình ảnh độ phân giải cao mới

Các cấu hình có thể chọn lựa:

  • Chụp toàn hàm
  • Chụp toàn hàm + chụp sọ 2D
  • Chụp toàn hàm + 3D
  • Chụp toàn hàm + chụp sọ + 3D

 

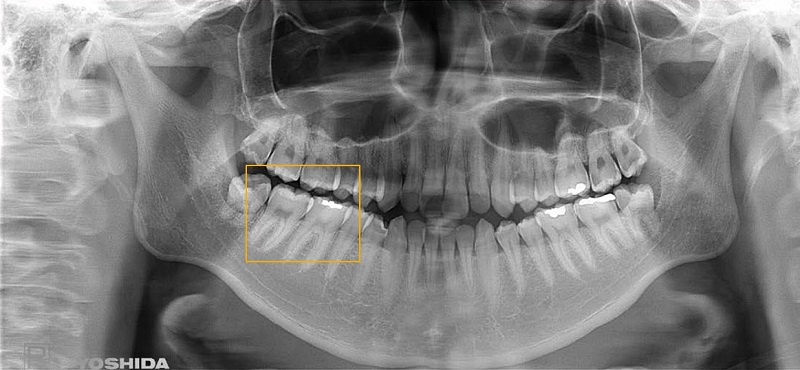
Hình ảnh chụp toàn hàm từ X-ERA Smart
Hình ảnh chụp toàn hàm từ X-ERA Smart

Các chương trình chụp

Với đầu chụp toàn hàm

  • Chụp toàn hàm người lớn
  • Chụp toàn hàm trẻ em
  • Chụp TMJ

Với đầu chụp sọ

  • Chụp sọ Sau/Trước
  • Chụp sọ nghiêng
  • Chụp cổ tay (option)

Chức năng chụp toàn hàm nhanh chỉ trong 8 giây

Chụp toàn hàm độ phân giải cao với thời gian 14 giây

Thiết bị X-Quang kỹ thuật số quanh chóp – DENT NAVI

Đáp ứng quá trình số hóa, công nghệ chụp X-Quang kỹ thuật số và phim của Dent Navi khiến mọi Bác Sĩ đều hài lòng và giúp họ dễ dàng chẩn đoán tình trạng bệnh nhân. Dent Navi có thể cài thời gian tự động chụp giúp việc xuất hình ảnh nhanh chóng, hạn chế ảnh hưởng đến sức khỏe bệnh nhân.

DENT NAVI - Thiết bị X Quang hỗ trợ tốt nhất cho phòng khám nha khoa
DENT NAVI – thiết bị X quang hỗ trợ tốt nhất cho phòng khám nha khoa

Để mua được sản phẩm tốt, bền và giá cả hợp lý, Bác Sĩ cần lựa chọn những địa điểm uy tín trong ngành. N.K.Luck Việt Nam là nơi đáp ứng đầy đủ và nhiều hơn những gì Bác Sĩ mong đợi. Với hơn 20 năm cung cấp thiết bị, thương hiệu của chúng tôi đã từng bước vững mạnh trên thị trường phân phối thiết bị nha khoa. Nhiều năm qua, N.K.Luck đã trở thành đối tác tiềm năng của các nhãn hàng nổi tiếng thế giới trong đó có Yoshida.

>>> Xem thêm: Những lý do khiến Dent Navi được nhiều Nha sĩ sử dụng cho phòng khám

N.K.Luck – Nơi cung cấp các trang thiết bị, vật liệu nha khoa uy tín hàng đầu thế giới

Được đánh giá là một trong những nhà phân phối lớn nhất tại Việt Nam trong nhiều năm qua, công ty vật tư nha khoa N.K.Luck đã cung cấp các trang thiết bị và dịch vụ uy tín, chất lượng cho nhiều phòng khám và các nha sĩ tên tuổi hàng đầu trong lĩnh vực răng hàm mặt. Chúng tôi cung cấp sản phẩm nhập khẩu trực tiếp từ các thương hiệu lớn trên thế giới với đầy đủ hồ sơ chứng thực về chất lượng cũng như tuân thủ đúng các chế độ bảo hành từ nhà sản xuất. 

Với mong muốn mang đến sự trải nghiệm sản phẩm tốt nhất, N.K.Luck thường xuyên tổ chức các hoạt động trải nghiệm demo sản phẩm, hội thảo chuyên ngành với sự diễn thuyết từ các chuyên gia Nha khoa nổi tiếng,… để mời Nha Sĩ đến tham gia trải nghiệm thực tế và đánh giá. Bên cạnh đó, chúng tôi còn đầu tư đào tạo đội ngũ kỹ thuật viên chất lượng để hỗ trợ mọi lúc mọi nơi từ khâu lắp đặt đến lúc vận hành, giúp củng cố niềm tin về chất lượng sản phẩm trong mắt khách hàng của mình.

N.K.Luck luôn đặt chất lượng và uy tín lên hàng đầu để có thể mang đến cho khách hàng những trang thiết bị hiện đại, chất lượng và tiện nghi nhất, giúp tối ưu hiệu quả khám chữa bệnh của các Nha Sĩ.

Các đối tác chiến lược của NKLUCK
N.K.Luck tự hào là đối tác chiến lược của nhiều thương hiệu thiết bị nha khoa nổi tiếng trên thế giới

Lựa chọn N.K.Luck, Bác Sĩ sẽ hoàn toàn không còn lo ngại về chất lượng thiết bị cũng như chế độ bảo hành bảo dưỡng. Đội ngũ tư vấn chuyên nghiệp với những sản phẩm chất lượng được nhập khẩu trực tiếp từ những thương hiệu lớn sẽ giúp Nha Sĩ chọn lựa được thiết bị hình ảnh toàn cảnh phù hợp nhất cho phòng khám của mình. 

N.K.Luck sẽ mang đến những sản phẩm tốt nhất với đầy đủ chế độ bảo hành cũng như sự hỗ trợ tận tình từ đội ngũ kỹ thuật viên tay nghề cao. Liên hệ ngay Hotline: 02838.620.090 để biết thêm thông tin chi tiết.